ABAT Polyclonal Antibody

Cat.#: 164471

Special Price 226.5 USD

Availability: In Stock
- +

Add to cart to get an online quotation

Product Information

  • Product Name
    ABAT Polyclonal Antibody
  • Documents
  • Description
    Polyclonal antibody to ABAT
  • Tested applications
    WB, IHC, IF
  • Species reactivity
    Human, Mouse, Rat
  • Alternative names
    ABAT antibody; GABA-AT antibody; GABAT antibody; NPD009 antibody; 4-aminobutyrate aminotransferase antibody
  • Isotype
    Rabbit IgG
  • Preparation
    Antigen: Recombinant fusion protein containing a sequence corresponding to amino acids 29-300 of human ABAT (NP_001120920.1).
  • Clonality
    Polyclonal
  • Formulation
    PBS with 0.02% sodium azide, 50% glycerol, pH7.3.
  • Storage instructions
    Store at -20℃. Avoid freeze / thaw cycles.
  • Applications
    WB 1:500 - 1:2000
    IHC 1:50 - 1:200
    IF 1:50 - 1:200
  • Validations

    Western blot - ABAT Polyclonal Antibody

    Western blot - ABAT Polyclonal Antibody

    Western blot analysis of extracts of various cell lines, using ABAT antibody at 1:1000 dilution.Secondary antibody: HRP Goat Anti-Rabbit IgG (H+L) at 1:10000 dilution.Lysates/proteins: 25ug per lane.Blocking buffer: 3% nonfat dry milk in TBST.Detection: ECL Basic Kit .Exposure time: 10s.

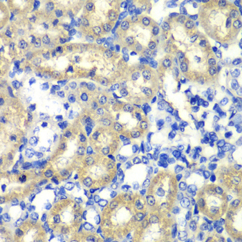
    Immunohistochemistry - ABAT Polyclonal Antibody

    Immunohistochemistry - ABAT Polyclonal Antibody

    Immunohistochemistry of paraffin-embedded rat kidney using ABAT antibody at dilution of 1:100 (40x lens).

    Immunohistochemistry - ABAT Polyclonal Antibody

    Immunohistochemistry - ABAT Polyclonal Antibody

    Immunohistochemistry of paraffin-embedded human liver injury using ABAT antibody at dilution of 1:100 (40x lens).

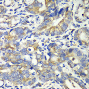
    Immunohistochemistry - ABAT Polyclonal Antibody

    Immunohistochemistry - ABAT Polyclonal Antibody

    Immunohistochemistry of paraffin-embedded human gastric cancer using ABAT antibody at dilution of 1:100 (40x lens).

    Immunofluorescence - ABAT Polyclonal Antibody

    Immunofluorescence - ABAT Polyclonal Antibody

    Immunofluorescence analysis of A549 cells using ABAT antibody . Blue: DAPI for nuclear staining.

  • Background
    Catalyzes the conversion of gamma-aminobutyrate and L-beta-aminoisobutyrate to succinate semialdehyde and methylmalonate semialdehyde, respectively. Can also convert delta-aminovalerate and beta-alanine.

Please note: All products are "FOR RESEARCH USE ONLY AND ARE NOT INTENDED FOR DIAGNOSTIC OR THERAPEUTIC USE"