Anti-Phospho-PI3 Kinase p85 (Tyr607) Rabbit antibody

Cat.#: 166970

Size:

Special Price 441.3 USD

Availability: In Stock
- +

Add to cart to get an online quotation

Product Information

  • Product Name
    Anti-Phospho-PI3 Kinase p85 (Tyr607) Rabbit antibody
  • Documents
  • Description
    Phospho-PI3 Kinase p85 (Tyr607) Rabbit polyclonal antibody
  • Tested applications
    ICC/IF, WB, IHC-P, ELISA
  • Species reactivity
    Human, Mouse, Rat, Chicken
  • Isotype
    Rabbit IgG
  • Preparation
    Antigen: The antiserum was produced against synthesized peptide derived from human PI3-kinase p85-alpha around the phosphorylation site of Tyr607. AA range:573-622
  • Clonality
    Polyclonal
  • Formulation
    Liquid in PBS containing 50% glycerol, 0.5% BSA and 0.02% sodium azide.
  • Storage instructions
    Store at 4°C short term. Store at -20°C long term. Avoid freeze / thaw cycle.
  • Applications

    IF: 1/50-200

    WB: 1/500 - 1/2000

    IHC: 1/100 - 1/300

    ELISA: 1/10000

  • Validations

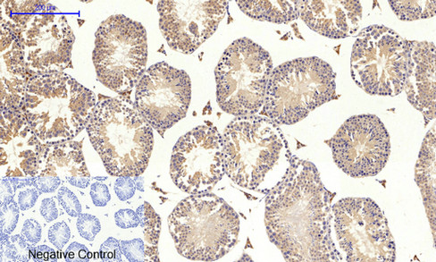
    Immunohistochemical analysis of paraffin-embedded Rat-testis tissue. 1,PI 3-kinase p85α (phospho Tyr607) Polyclonal Antibody was diluted at 1:200(4°C,overnight). 2, Sodium citrate pH 6.0 was used for antibody retrieval(>98°C,20min). 3,Secondary antibody was diluted at 1:200(room tempeRature, 30min). Negative control was used by secondary antibody only.

    Immunohistochemical analysis of paraffin-embedded Rat-testis tissue. 1,PI 3-kinase p85α (phospho Tyr607) Polyclonal Antibody was diluted at 1:200(4°C,overnight). 2, Sodium citrate pH 6.0 was used for antibody retrieval(>98°C,20min). 3,Secondary antibody was diluted at 1:200(room tempeRature, 30min). Negative control was used by secondary antibody only.

    Western Blot analysis of various cells using Phospho-PI 3-kinase p85α (Y607) Polyclonal Antibody diluted at 1:1000

    Western Blot analysis of various cells using Phospho-PI 3-kinase p85α (Y607) Polyclonal Antibody diluted at 1:1000

    Immunohistochemical analysis of paraffin-embedded Mouse-testis tissue. 1,PI 3-kinase p85α (phospho Tyr607) Polyclonal Antibody was diluted at 1:200(4°C,overnight). 2, Sodium citrate pH 6.0 was used for antibody retrieval(>98°C,20min). 3,Secondary antibody was diluted at 1:200(room tempeRature, 30min). Negative control was used by secondary antibody only.

    Immunohistochemical analysis of paraffin-embedded Mouse-testis tissue. 1,PI 3-kinase p85α (phospho Tyr607) Polyclonal Antibody was diluted at 1:200(4°C,overnight). 2, Sodium citrate pH 6.0 was used for antibody retrieval(>98°C,20min). 3,Secondary antibody was diluted at 1:200(room tempeRature, 30min). Negative control was used by secondary antibody only.

    Immunofluorescence analysis of rat-heart tissue. 1,PI 3-kinase p85α (phospho Tyr607) Polyclonal Antibody(red) was diluted at 1:200(4°C,overnight). 2, Cy3 labled Secondary antibody was diluted at 1:300(room temperature, 50min).3, Picture B: DAPI(blue) 10min. Picture A:Target. Picture B: DAPI. Picture C: merge of A+B

    Immunofluorescence analysis of rat-heart tissue. 1,PI 3-kinase p85α (phospho Tyr607) Polyclonal Antibody(red) was diluted at 1:200(4°C,overnight). 2, Cy3 labled Secondary antibody was diluted at 1:300(room temperature, 50min).3, Picture B: DAPI(blue) 10min. Picture A:Target. Picture B: DAPI. Picture C: merge of A+B

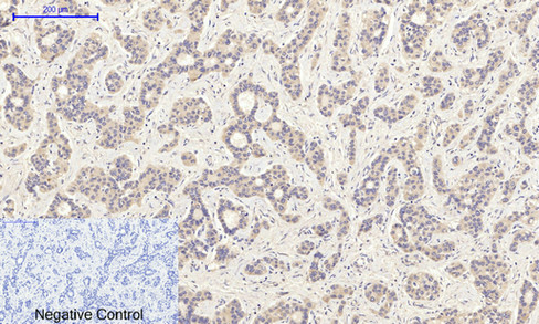
    Immunohistochemical analysis of paraffin-embedded Human-liver-cancer tissue. 1,PI 3-kinase p85α (phospho Tyr607) Polyclonal Antibody was diluted at 1:200(4°C,overnight). 2, Sodium citrate pH 6.0 was used for antibody retrieval(>98°C,20min). 3,Secondary antibody was diluted at 1:200(room tempeRature, 30min). Negative control was used by secondary antibody only.

    Immunohistochemical analysis of paraffin-embedded Human-liver-cancer tissue. 1,PI 3-kinase p85α (phospho Tyr607) Polyclonal Antibody was diluted at 1:200(4°C,overnight). 2, Sodium citrate pH 6.0 was used for antibody retrieval(>98°C,20min). 3,Secondary antibody was diluted at 1:200(room tempeRature, 30min). Negative control was used by secondary antibody only.

  • Background
    Swiss-Prot Acc.P27986.

Please note: All products are "FOR RESEARCH USE ONLY AND ARE NOT INTENDED FOR DIAGNOSTIC OR THERAPEUTIC USE"