DRD4 Polyclonal Antibody

Cat.#: 166569

Special Price 226.5 USD

Availability: In Stock
- +

Add to cart to get an online quotation

Product Information

  • Product Name
    DRD4 Polyclonal Antibody
  • Documents
  • Description
    Polyclonal antibody to DRD4
  • Tested applications
    WB, IHC
  • Species reactivity
    Mouse, Rat
  • Alternative names
    DRD4 antibody; D4DR antibody; dopamine receptor D4 antibody
  • Isotype
    Rabbit IgG
  • Preparation
    Antigen: A synthetic peptide corresponding to a sequence within amino acids 100-200 of human DRD4 (NP_000788.2).
  • Clonality
    Polyclonal
  • Formulation
    PBS with 0.02% sodium azide, 50% glycerol, pH7.3.
  • Storage instructions
    Store at -20℃. Avoid freeze / thaw cycles.
  • Applications
    WB 1:500 - 1:1000
    IHC 1:50 - 1:200
  • Validations

    Western blot - DRD4 Polyclonal Antibody

    Western blot - DRD4 Polyclonal Antibody

    Western blot analysis of extracts of various cell lines, using DRD4 antibody at 1:1000 dilution.Secondary antibody: HRP Goat Anti-Rabbit IgG (H+L) at 1:10000 dilution.Lysates/proteins: 25ug per lane.Blocking buffer: 3% nonfat dry milk in TBST.Detection: ECL Basic Kit .Exposure time: 90s.

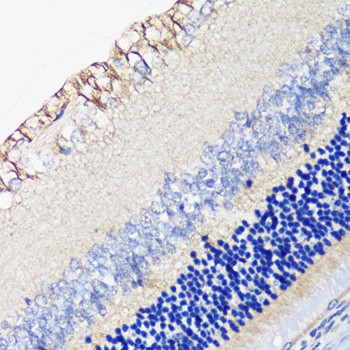
    Immunohistochemistry - DRD4 Polyclonal Antibody

    Immunohistochemistry - DRD4 Polyclonal Antibody

    Immunohistochemistry of paraffin-embedded rat retina using DRD4 antibody at dilution of 1:100 (40x lens).

  • Background
    Dopamine receptor responsible for neuronal signaling in the mesolimbic system of the brain, an area of the brain that regulates emotion and complex behavior. Activated by dopamine, but also by epinephrine and norepinephrine, and by numerous synthetic agonists and drugs. Agonist binding triggers signaling via G proteins that inhibit adenylyl cyclase. Modulates the circadian rhythm of contrast sensitivity by regulating the rhythmic expression of NPAS2 in the retinal ganglion cells (By similarity).

Please note: All products are "FOR RESEARCH USE ONLY AND ARE NOT INTENDED FOR DIAGNOSTIC OR THERAPEUTIC USE"