DISC1 Polyclonal Antibody

Cat.#: 163928

Special Price 226.5 USD

Availability: In Stock
- +

Add to cart to get an online quotation

Product Information

  • Product Name
    DISC1 Polyclonal Antibody
  • Documents
  • Description
    Polyclonal antibody to DISC1
  • Tested applications
    WB, IHC
  • Species reactivity
    Human, Mouse, Rat
  • Alternative names
    DISC1 antibody; C1orf136 antibody; SCZD9 antibody; disrupted in schizophrenia 1 antibody
  • Isotype
    Rabbit IgG
  • Preparation
    Antigen: Recombinant fusion protein containing a sequence corresponding to amino acids 1-200 of human DISC1 (NP_001158009.1).
  • Clonality
    Polyclonal
  • Formulation
    PBS with 0.02% sodium azide, 50% glycerol, pH7.3.
  • Storage instructions
    Store at -20℃. Avoid freeze / thaw cycles.
  • Applications
    WB 1:500 - 1:2000
    IHC 1:50 - 1:200
  • Validations

    Western blot - DISC1 Polyclonal Antibody

    Western blot - DISC1 Polyclonal Antibody

    Western blot analysis of extracts of various cell lines, using DISC1 antibody at 1:1000 dilution.Secondary antibody: HRP Goat Anti-Rabbit IgG (H+L) at 1:10000 dilution.Lysates/proteins: 25ug per lane.Blocking buffer: 3% nonfat dry milk in TBST.Detection: ECL Basic Kit .Exposure time: 10s.

    Western blot - DISC1 Polyclonal Antibody

    Western blot - DISC1 Polyclonal Antibody

    Western blot analysis of extracts of various cells, using DISC1 antibody at 1:1000 dilution ratio through one-step method.Secondary antibody: HRP Goat Anti-Rabbit IgG (H+L) at 1:4000 dilution.Lysates/proteins: 25ug per lane.Blocking buffer: 3% nonfat dry milk in TBST.Detection: ECL Basic Kit .Exposure time: 3min.

    Immunohistochemistry - DISC1 Polyclonal Antibody

    Immunohistochemistry - DISC1 Polyclonal Antibody

    Immunohistochemistry of paraffin-embedded human stomach using DISC1 antibody at dilution of 1:100 (40x lens).

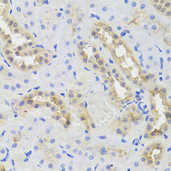
    Immunohistochemistry - DISC1 Polyclonal Antibody

    Immunohistochemistry - DISC1 Polyclonal Antibody

    Immunohistochemistry of paraffin-embedded rat kidney using DISC1 antibody at dilution of 1:100 (40x lens).

  • Background
    Involved in the regulation of multiple aspects of embryonic and adult neurogenesis. Required for neural progenitor proliferation in the ventrical/subventrical zone during embryonic brain development and in the adult dentate gyrus of the hippocampus. Participates in the Wnt-mediated neural progenitor proliferation as a positive regulator by modulating GSK3B activity and CTNNB1 abundance. Plays a role as a modulator of the AKT-mTOR signaling pathway controlling the tempo of the process of newborn neurons integration during adult neurogenesis, including neuron positioning, dendritic development and synapse formation. Inhibits the activation of AKT-mTOR signaling upon interaction with CCDC88A. Regulates the migration of early-born granule cell precursors toward the dentate gyrus during the hippocampal development. Plays a role, together with PCNT, in the microtubule network formation.

Please note: All products are "FOR RESEARCH USE ONLY AND ARE NOT INTENDED FOR DIAGNOSTIC OR THERAPEUTIC USE"