CRTAP Polyclonal Antibody

Cat.#: 164326

Special Price 226.5 USD

Availability: In Stock
- +

Add to cart to get an online quotation

Product Information

  • Product Name
    CRTAP Polyclonal Antibody
  • Documents
  • Description
    Polyclonal antibody to CRTAP
  • Tested applications
    WB, IHC
  • Species reactivity
    Human, Mouse, Rat
  • Alternative names
    CRTAP antibody; CASP antibody; LEPREL3 antibody; OI7 antibody; P3H5 antibody; cartilage-associated protein antibody
  • Isotype
    Rabbit IgG
  • Preparation
    Antigen: Recombinant fusion protein containing a sequence corresponding to amino acids 20-240 of human CRTAP (NP_006362.1).
  • Clonality
    Polyclonal
  • Formulation
    PBS with 0.02% sodium azide, 50% glycerol, pH7.3.
  • Storage instructions
    Store at -20℃. Avoid freeze / thaw cycles.
  • Applications
    WB 1:500 - 1:2000
    IHC 1:50 - 1:200
  • Validations

    Western blot - CRTAP Polyclonal Antibody

    Western blot - CRTAP Polyclonal Antibody

    Western blot analysis of extracts of SW480 cells, using CRTAP antibody at 1:1000 dilution.Secondary antibody: HRP Goat Anti-Rabbit IgG (H+L) at 1:10000 dilution.Lysates/proteins: 25ug per lane.Blocking buffer: 3% nonfat dry milk in TBST.Detection: ECL Enhanced Kit .Exposure time: 90s.

    Immunohistochemistry - CRTAP Polyclonal Antibody

    Immunohistochemistry - CRTAP Polyclonal Antibody

    Immunohistochemistry of paraffin-embedded rat lung using CRTAP antibody at dilution of 1:100 (40x lens).

    Immunohistochemistry - CRTAP Polyclonal Antibody

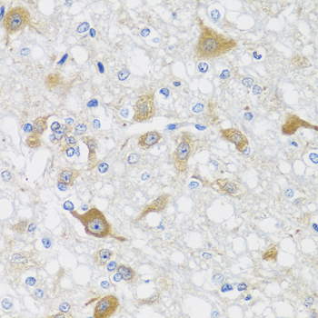
    Immunohistochemistry - CRTAP Polyclonal Antibody

    Immunohistochemistry of paraffin-embedded rat brain using CRTAP antibody at dilution of 1:100 (40x lens).

    Immunohistochemistry - CRTAP Polyclonal Antibody

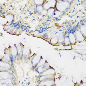
    Immunohistochemistry - CRTAP Polyclonal Antibody

    Immunohistochemistry of paraffin-embedded human colon using CRTAP antibody at dilution of 1:100 (40x lens).

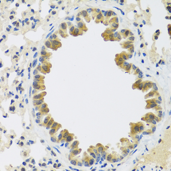
    Immunohistochemistry - CRTAP Polyclonal Antibody

    Immunohistochemistry - CRTAP Polyclonal Antibody

    Immunohistochemistry of paraffin-embedded mouse lung using CRTAP antibody at dilution of 1:100 (40x lens).

  • Background
    Necessary for efficient 3-hydroxylation of fibrillar collagen prolyl residues.

Please note: All products are "FOR RESEARCH USE ONLY AND ARE NOT INTENDED FOR DIAGNOSTIC OR THERAPEUTIC USE"