Anti-Phospho-Caspase 9 (Ser196) Rabbit antibody

Cat.#: 167023

Size:

Special Price 441.3 USD

Availability: In Stock
- +

Add to cart to get an online quotation

Product Information

  • Product Name
    Anti-Phospho-Caspase 9 (Ser196) Rabbit antibody
  • Documents
  • Description
    Phospho-Caspase 9 (Ser196) Rabbit polyclonal antibody
  • Tested applications
    WB, IHC-P
  • Species reactivity
    Human
  • Isotype
    Rabbit IgG
  • Preparation
    Antigen: This Phospho-Caspase 9-S196 antibody is generated from rabbits immunized with a KLH conjugated synthetic phosphopeptide corresponding to amino acid residues surrounding S196 of human caspase 9.
  • Clonality
    Polyclonal
  • Formulation
    Purified polyclonal antibody supplied in PBS with 0.09% (W/V) sodium azide. This antibody is first purified by protein G affinity chromatography. Then, the antibody fraction is peptide affinity purified in a 2-step procedure with control and phosphorylate
  • Applications

    WB::1:1000IHC::1:50~100

  • Validations

    The anti-Phospho-Caspase 9-S196 Pab (Cat. #167023) is used in Western blot to detect Phospho-Caspase 9-S196 in Y79 cell line lysates.

    The anti-Phospho-Caspase 9-S196 Pab (Cat. #167023) is used in Western blot to detect Phospho-Caspase 9-S196 in Y79 cell line lysates.

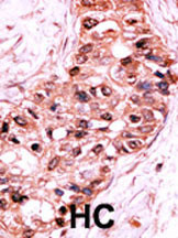
    Formalin-fixed and paraffin-embedded human cancer tissue reacted with the primary antibody, which was peroxidase-conjugated to the secondary antibody, followed by AEC staining. This data demonstrates the use of this antibody for immunohistochemistry; clin

    Formalin-fixed and paraffin-embedded human cancer tissue reacted with the primary antibody, which was peroxidase-conjugated to the secondary antibody, followed by AEC staining. This data demonstrates the use of this antibody for immunohistochemistry; clin

  • Background
    Swiss-Prot Acc.P55211.

Please note: All products are "FOR RESEARCH USE ONLY AND ARE NOT INTENDED FOR DIAGNOSTIC OR THERAPEUTIC USE"